Cứu sống bệnh nhân vỡ gan độ IV nguy kịch nhờ được can thiệp nút mạch kịp thời
Ngày 26/7/2023, Các bác sĩ Bệnh viện Bãi Cháy đã cứu sống bệnh
nhân nam 60 tuổi bị tai nạn lao động đa chấn thương, chấn thương gan độ IV nguy kịch nhờ
can thiệp nút mạch gan.
Theo đó, Bệnh nhân H.Đ.L (60 tuổi), phường Giếng Đáy, TP Hạ Long, tỉnh Quảng Ninh bị ngã đập thành trước ngực bụng xuống nền cứng, sau ngã đau nhiều vùng ngực bụng được gia đình đưa vào viện cấp cứu. Sau khi vào, các bác sĩ tại bệnh viện đã nhanh chóng thăm khám lâm sàng, cận lâm sàng, kết quả siêu âm, CT scanner ổ bụng cho thấy hình ảnh chấn thương gan độ IV, chấn thương lách độ II, gãy xương sườn và có nhiều dịch trong ổ bụng.

Bs.CKI Lê Tiến Hưng cùng ê kíp đang tiến hành nút mạch gan cầm máu cho bệnh nhân.
Trước nguy cơ bệnh nhân có thể tử vong do shock mất máu, kíp trực cấp cứu bệnh viện đã hội chẩn liên khoa: Ngoại - Điện quang can thiệp - Hồi sức tích cực thống nhất nút mạch cầm máu điều trị vỡ gan.

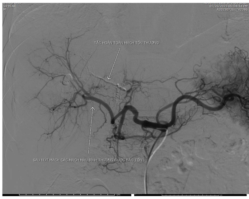
Hình ảnh trước can thiệp

Hình ảnh sau can thiệp.
Với hệ thống máy chụp mạch
máu số hóa xóa nền (DSA), kíp can thiệp do Bs.CKI Lê Tiến Hưng, Trưởng Đơn
Nguyên điện quang - can thiệp, Bệnh viện Bãi Cháy đã tiến hành can thiệp nút
mạch thành công cho bệnh nhân sau gần 1 tiếng đồng hồ, giúp cầm máu nhanh chóng
cho bệnh nhân.
Hiện tại, sau 1 ngày can thiệp sức khỏe bệnh nhân đã tiến triển tốt, mạch, huyết áp ổn định.

Bác sĩ khám lại cho bệnh nhân sau can thiệp.
Bs.CKI Lê Tiến Hưng cho
biết “Gan là tạng đặc có thể tích lớn trong cơ thể, trong chấn thương bụng kín
vỡ gan chiếm tỉ lệ gần 68%. Vỡ gan có nhiều mức độ khác nhau nếu không phát
hiện và xử trí kịp thời dẫn đến chảy máu ổ bụng làm bệnh nhân bị sốc do mất máu
và dễ dẫn đến tử vong.
Ngoài ra, gan là cơ quan
quan trọng trong cơ thể, đặc biệt gan chứa rất nhiều mạch máu. Nếu gan bị vỡ
rất dễ bị mất máu nhanh, vì vậy cần phải được điều trị kịp thời tránh để lâu
nguy hiểm đến tính mạng người bệnh”.
Khi bị tổn thương động mạch
hoặc các tạng như gan, thận, lách… do tai nạn giao thông, tai nạn trong lao
động, sinh hoạt, bệnh nhân sẽ gặp phải nguy cơ mất máu, kéo theo một loạt các
biến chứng nghiêm trọng như rối loạn hoạt động các chức năng sống của cơ thể,
rối loạn đông máu, suy phủ tạng và dẫn đến tử vong.
Thông thường, bệnh nhân sẽ
được chỉ định mổ cấp cứu để xử lý các tổn thương. Tuy nhiên, với phương pháp
nút mạch cầm máu (không phải gây mê), bệnh nhân sẽ không phải trải qua những
cuộc đại phẫu nặng nề kéo dài hàng giờ, tiềm ẩn biến chứng trong và sau phẫu
thuật nguy hiểm như sốc mất máu, nhiễm trùng vết mổ,...
Đây là phương pháp can
thiệp xâm lấn tối thiểu với nhiều ưu điểm như: thời gian thủ thuật ngắn, cầm máu được tức
thì, hạn chế tối đa xâm lấn giúp tổn thương ở gan mau hồi phục để bệnh nhân
nhanh chóng được xử lý những tổn thương khác.
Theo bác sĩ Hưng, hiện nay
Bệnh viện đã làm chủ và triển khai thường quy kỹ thuật can thiệp nút mạch các
tạng như gan, thận, lách… giúp cứu sống được rất nhiều bệnh nhân bị tai nạn
giao thông, tai nạn lao động, tai nạn sinh hoạt….
Minh Khương
