Nội soi phế quản gắp mảnh xương trong thùy phổi cụ bà 75 tuổi
Các bác sĩ Bệnh viện Bãi Cháy vừa thực hiện can thiệp nội soi phế quản thành công gắp mảnh xương cá mắc trong thùy phổi của một cụ bà 75 tuổi.
Bệnh nhân Nguyễn T L (75 tuổi, trú tại TP Uông Bí, tỉnh Quảng Ninh) có tiền sử tăng huyết áp, bị ho nhiều kèm nặng tức ngực, khạc đờm vàng đục khoảng 2 tháng nay. Gần đây, bệnh nhân ho khạc đờm tăng lên kèm sốt nóng, dùng thuốc tại nhà không đỡ nên đến khám tại Bệnh viện Bãi Cháy. Kết quả Ctscanner ngực có hình ảnh viêm tổn thương đông đặc thùy dưới phổi phải và phân thùy lưỡi phổi trái, giãn phế quản thùy trên phổi trái. Các bác sĩ đã hội chẩn chuyên khoa hô hấp, chẩn đoán tình trạng viêm thùy phổi, theo dõi lao phổi, chỉ định nội soi phế quản để xác định chính xác nguyên nhân bệnh và đưa ra hướng điều trị thích hợp.

Cụ bà 75 tuổi khỏe mạnh sau can thiệp nội soi phế quản
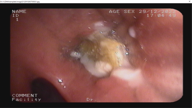
Quá trình nội soi phế quản ống mềm phát hiện dị vật góc cạnh dài 1,5 cm là mảnh xương gây bít tắc ở thùy dưới phổi phải gây tổn thương viêm mủ. Ekip nội soi can thiệp Khoa Hô hấp, Bệnh viện Bãi Cháy đã tiến hành gắp dị vật, hút rửa sạch phế quản thùy dưới phổi phải. Sau can thiệp 24h, bệnh nhân tỉnh, phổi thông khí tốt, giảm ho, không còn sốt, sức khỏe ổn định, tiếp tục được điều trị kháng sinh, kháng viêm.

Can thiệp nội soi phế quản gắp dị vật đường thở cho người bệnh tại Bệnh viện Bãi Cháy
BS CKI Phạm Thị Út Trang – Khoa Hô hấp, Bệnh viện Bãi Cháy cho biết: “Do dị vật kích thước khá lớn, sắc nhọn nằm lâu trong lòng phế quản gây tổn thương thùy phổi dẫn đến tình trạng viêm mủ nghiêm trọng. Nếu không phát hiện và xử trí kịp thời dị vật có thể bám chắc, sâu hơn gây ra nhiễm trùng đường hô hấp, nặng hơn có thể xuất hiện giãn phế quản do dị vật bỏ quên lâu ngày, áp xe phổi, tràn mủ màng phổi, thủng phế quản, tràn khí màng phổi... khiến cho việc điều trị trở nên khó khăn hơn. Một số trường hợp dị vật phế quản nguy hiểm có thể gây tắc nghẽn đường thở khiến bệnh nhân tử vong nhanh chóng.
Để gắp thành công dị vật phế quản đòi hỏi đội ngũ bác sĩ phải được đào tạo bài bản về kỹ thuật can thiệp nội soi phế quản, thao tác khéo léo, chuẩn xác để tránh tình trạng dị vật rơi trở lại vị trí ban đầu hoặc đi chệch hướng gây tổn thương các tổ chức trong lòng phế quản.”



Dị vật là mảnh xương được lấy ra qua can thiệp nội soi phế quản ống mềm tại Bệnh viện Bãi Cháy
Triển khai kỹ thuật nội soi ống mềm từ năm 2013, Khoa Hô hấp – Bệnh viện Bãi Cháy đã mở rộng ứng dụng đánh giá các trường hợp bệnh nhân ho ra máu, ho kéo dài, tràn dịch màng phổi không rõ nguyên nhân, đánh giá các tổn thương sau đặt nội khí quản, hẹp khí quản, dò khí quản – thực quản, điều trị hút rửa phế quản, loại bỏ dị vật đường thở, sinh thiết chẩn đoán lao phổi, ung thư phế quản, khí phế quản…Nhờ đó nâng cao hiệu quả điều trị các bệnh lý đường hô hấp, giúp người bệnh tại Quảng Ninh được thụ hưởng phương pháp chẩn đoán, điều trị hiện đại, hiệu quả ngay tại địa phương với chi phí tiết kiệm.
Qua trường hợp bệnh nhân trên, các bác sĩ Bệnh viện Bãi Cháy khuyến cáo người dân:
Khi bị hóc dị vật như mảnh xương, hạt hoa quả, thức ăn… không nên cố gắng khạc, dùng tay móc, nuốt miếng thức ăn to hoặc chữa mẹo dân gian để lấy dị vật ra ra… Những việc làm này sẽ làm cho niêm mạc họng bị trầy xước, c.hảy m.áu, dễ n.hiễm t.rùng, dị vật có thể bị mắc sâu hơn và rơi vào những vị trí nguy hiểm.
Quá trình ăn uống cần ăn chậm, nhai kỹ, không vừa ăn vừa nói chuyện hay cười đùa, nhất là đối với người già và trẻ nhỏ để hạn chế tình trạng dị vật lọt vào đường ăn, đường thở.
Những dấu hiệu của dị vật bị bỏ quên trong đường thở thường không rõ ràng nên khi có các triệu chứng ho, ho lẫn đờm, máu, tức ngực, khó thở… người bệnh cần đến khám tại các cơ sở y tế chuyên khoa để được thăm khám, chẩn đoán, điều trị kịp thời.
Mạc Thảo
