Phẫu thuật nội soi thành công cắt u trung thất sau: Bệnh viện Bãi Cháy cứu bệnh nhân thoát biến chứng nguy hiểm
Các bác sĩ Bệnh viện Bãi Cháy vừa phẫu thuật nội soi qua đường ngực thành công cắt bỏ khối u trung thất sau vị trí sát cột sống, xâm lấn màng phổi. Đây là phẫu thuật kĩ thuật cao, chuyên sâu, ít xâm lấn, giúp người bệnh thoát nguy cơ u biến chứng đe dọa tính mạng, giảm đau đớn và phục hồi sức khỏe nhanh chóng.

Bệnh nhân phẫu thuật u trung thất sau tại Bệnh viện Bãi Cháy hồi phục sức khỏe tốt
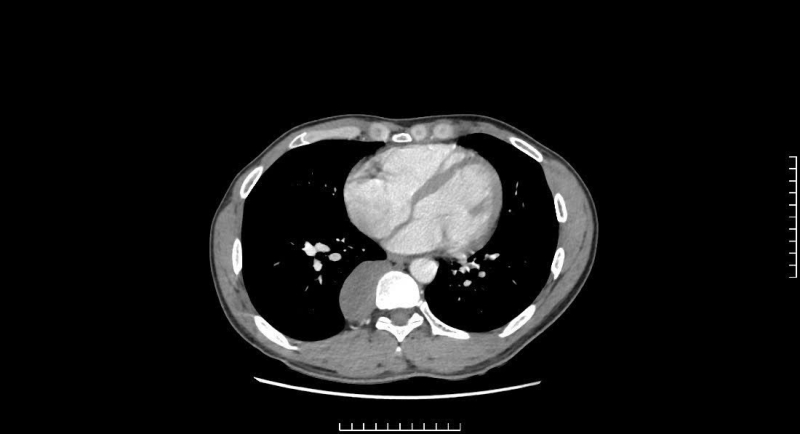
Bệnh nhân Thân V Q (38 tuổi, ở xã Tây Yên Tử, tỉnh Bắc Ninh) xuất hiện tình trạng khó thở, mệt mỏi, hụt hơi, khó nói, tê tay phải kèm các cơn giật mình vùng thân khi ngủ trong vài tháng nay. Gần đây, triệu chứng đau ngực tăng, thi thoảng giật mình thức giấc nên bệnh nhân đã đến Bệnh viện Bãi Cháy thăm khám. Người bệnh được thăm khám lâm sàng và thực hiện các xét nghiệm thăm dò chuyên sâu. Kết quả chụp CTscanner và MRI lồng ngực phát hiện khối u kích thước lớn 33x90x32mm nằm sát cột sống D7-D11. Các bác sĩ đã hội chẩn và chẩn đoán bệnh lý u trung thất sau, theo dõi u thần kinh.

Phim chụp khối u trung thất sau của người bệnh
Nhận định vị trí u nằm sâu trong lồng ngực – nơi tiếp giáp nhiều cấu trúc quan trọng như hệ tĩnh mạch đơn, cột sống, xương sườn, nhu mô phổi, bó mạch thần kinh liên sườn, ống ngực, thực quản, nguy cơ chèn ép thần kinh; Khi u phát triển quá lớn gây xẹp phổi, tắc mạch, suy hô hấp…. Ekip phẫu thuật của BSCKII Nguyễn Mạnh Hùng – Trưởng Khoa Thần kinh – Lồng ngực, Bệnh viện Bãi Cháy đã tiến hành phẫu thuật nội soi lồng ngực điều trị cho bệnh nhân. Dưới sự hỗ trợ của các thiết bị phẫu thuật nội soi hiện đại, phẫu thuật viên đã tiếp cận được khối u kích thước khoảng 5x10cm, mật độ chắc kéo dài từ cột sống D7-D11. Sau 3 tiếng, ca phẫu thuật diễn ra an toàn, thành công cắt bỏ triệt để u trung thất sau, phổi nở tốt, không rò khí và không chảy dịch bạch huyết. 5 ngày sau phẫu thuật, bệnh nhân phục hồi sức khỏe tốt.


Hình ảnh khối u trung thất sau được cắt bỏ triệt để qua phẫu thuật nội soi
BSCKII Nguyễn Mạnh Hùng – Trưởng Khoa Ngoại Thần kinh – lồng ngực, Bệnh viện Bãi Cháy cho biết: “Khối u trung thất sau nằm ở vị trí đặc biệt khó tiếp cận, sát cột sống ngực từ D7-D11. U nằm sát tĩnh mạch đơn, bó mạch thần kinh liên sườn, xương sườn, cơ thành ngực sau, màng phổi xung quanh u có nhiều xơ dính, nhu mô phổi thùy trên dính vào thành ngực. Vì vậy, thao tác gỡ dính, phẫu tích u qua nội soi phải khéo léo, tỉ mỉ, chuẩn xác để tránh tổn thương các cấu trúc quan trọng như mạch máu lớn, thần kinh liên sườn, tủy sống, màng phổi…, đảm bảo phẫu thuật diễn ra an toàn, không xảy ra biến chứng nguy hiểm trước, trong và sau phẫu thuật như: tràn máu khí màng phổi, tổn thương mạch máu lớn, tổn thương ống ngực, thực quản, cột sống - tủy sống rễ thần kinh, nhiễm trùng, tổn thương khí phế quản, rò bạch huyết…
Phẫu thuật nội soi xử trí thành công khối u trung thất sau giúp bệnh nhân cải thiện chất lượng cuộc sống, thoát nguy cơ u tiến triển chèn ép thần kinh gây yếu liệt, tràn khí – tràn máu màng phổi, suy hô hấp… đe dọa tính mạng”.
U trung thất là khối u nằm ở trong lồng ngực, có thể lành tính hoặc ác tính, thường phát triển lặng lẽ và ít khi được phát hiện sớm. Tùy vào vị trí giải phẫu có thể gặp các dạng u như: U trung thất trước xuất phát từ hạch lympho (lymphoma), tuyến ức (thymoma), hay các tuyến giáp lớn từ cổ thòng vào trung thất; U trung thất giữa xuất phát từ hệ thống hạch bạch huyết (u lympho), hay các nang xuất phát từ phế quản, từ màng tim; U trung thất sau thường gặp 70% là u thần kinh dạng lành tính…Nếu không được phát hiện, phẫu thuật loại bỏ kịp thời có thể chèn ép vào tim, phổi, mạch máu lớn…, cản trở quá trình tuần hoàn, hô hấp, ảnh hưởng đến sức khỏe, chất lượn cuộc sống. Bệnh nhân có thể xuất hiện các triệu chứng như: đau ngực, khó thở, ho ra máu, sụt cân, suy yếu cơ thể… Khối u ác tính có thể di căn đến màng tim, phổi đe dọa tính mạng của người bệnh. Vì vậy, các khối u trung thất cần được chẩn đoán, phát hiện và xử trí kịp thời để tránh các biến chứng phức tạp có nguy cơ gây tử vong.

Các khối u trung thất cần được chẩn đoán, phát hiện và xử trí kịp thời để tránh các biến chứng phức tạp có nguy cơ gây tử vong
Phẫu thuật nội soi cắt bỏ u trung thất đang được ứng dụng tại Bệnh viện Bãi Cháy là phẫu thuật hiện đại, chuyên sâu mang đến nhiều ưu điểm vượt trội, đảm bảo an toàn và tính thẩm mỹ cao. Phẫu thuật loại bỏ được hoàn toàn khối u, không gây chảy máu, vết mổ nhỏ (khoảng 4cm) giảm nhẹ nỗi đau cho người bệnh, hạn chế tối đa các biến chứng sau mổ. Thời gian nằm viện ngắn, bệnh nhân có thể xuất viện sau mổ 7-10 ngày. Vì vậy để phẫu thuật u trung thất phải được tiến hành ở cơ sở y tế có đội ngũ bác sĩ chuyên khoa giàu kinh nghiệm, trình độ chuyên môn vững vàng và trang thiết bị phẫu thuật nội soi hiện đại.
Sự thành công của ca phẫu thuật nội soi cắt u trung thất sau tiếp tục khẳng định năng lực chuyên sâu của Bệnh viện Bãi Cháy trong lĩnh vực phẫu thuật lồng ngực – trung thất ít xâm lấn. Các bác sĩ Bệnh viện Bãi Cháy khuyến cáo người bệnh gặp những triệu chứng như khó thở kéo dài, đau ngực, tê bì tay chân, ho dai dẳng, mệt mỏi không rõ nguyên nhân… cần được thăm khám sớm để phát hiện các bệnh lý trung thất, tránh các biến chứng nặng và nâng cao hiệu quả điều trị. Với định hướng phát triển mũi nhọn các kỹ thuật phẫu thuật ít xâm lấn, Bệnh viện Bãi Cháy luôn nỗ lực mang đến cho người bệnh dịch vụ y tế chất lượng cao, khám chữa bệnh chất lượng, an toàn và hiệu quả.
Mạc Thảo
